Rising Tooth Decay Among School Children Alarms Health Experts in Ghana
Health experts in Ghana are raising concerns over a noticeable increase in tooth decay among school-aged children, warning that poor oral hygiene and changing dietary habits are contributing to a growing public health issue. Reports indicate that dental decay is now affecting a significant number of
Ogyem Solomon

Health experts in Ghana are raising concerns over a noticeable increase in tooth decay among school-aged children, warning that poor oral hygiene and changing dietary habits are contributing to a growing public health issue. Reports indicate that dental decay is now affecting a significant number of pupils, highlighting the urgent need for preventive care and awareness.
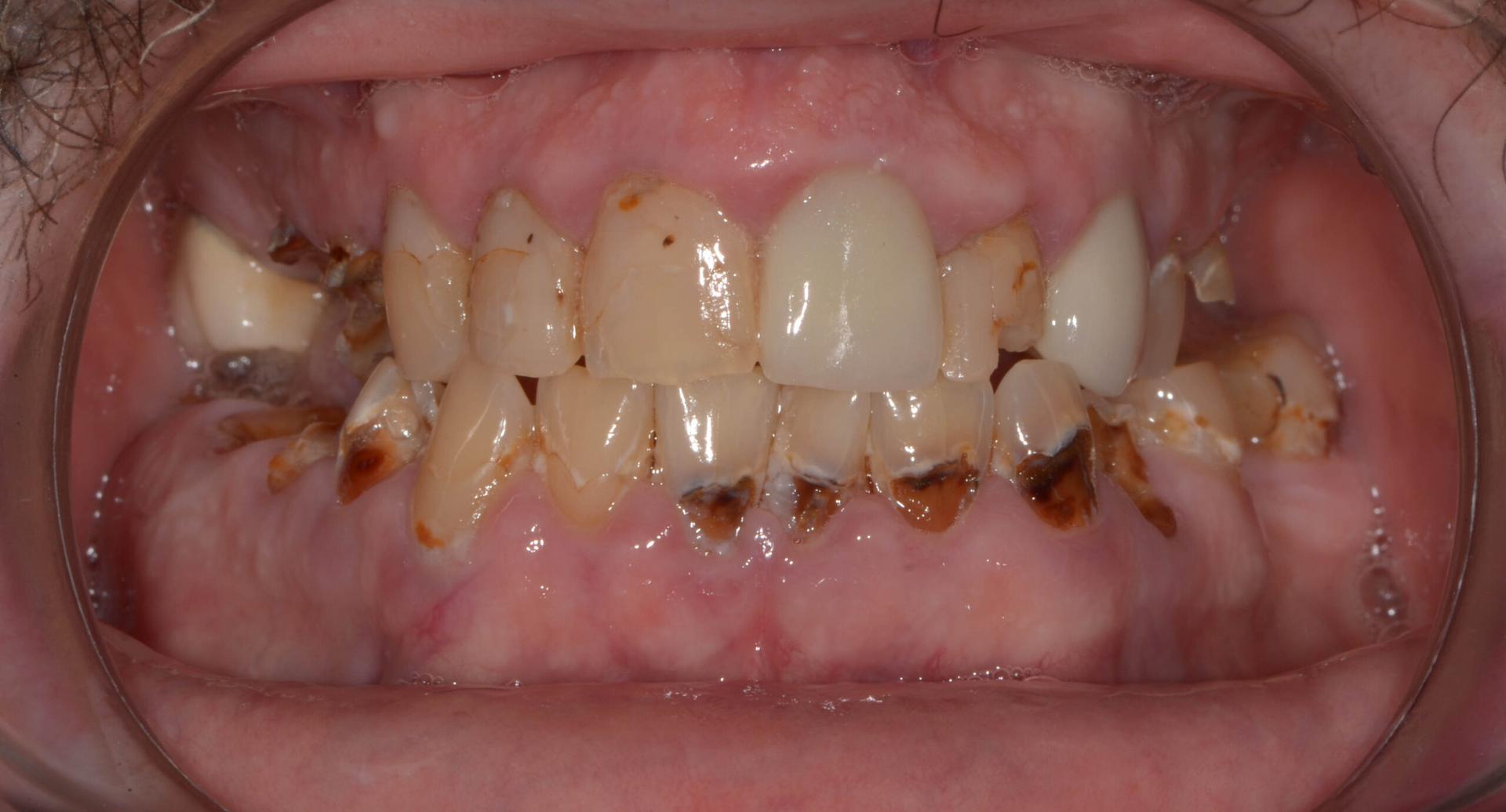
Dental decay, commonly called cavities, occurs when acids produced by bacteria in the mouth erode the enamel — the hard outer layer of the tooth. These acids are formed when bacteria feed on sugars found in food and drinks. Frequent consumption of sugary snacks and beverages, combined with irregular or ineffective tooth brushing, makes children particularly vulnerable to cavities.
Experts point to several factors driving the increase in tooth decay among children. Chief among them is the growing consumption of sugary foods, soft drinks, and fruit juices. Many children snack frequently between meals without proper oral hygiene, allowing plaque — a sticky film of bacteria — to accumulate and cause enamel erosion.
Another concern is the lack of consistent fluoride use. Fluoride strengthens tooth enamel and helps prevent cavities, but many children do not use fluoridated toothpaste regularly or lack access to fluoride sources. This makes their teeth more susceptible to decay.
In addition to diet and fluoride use, limited access to regular dental check-ups exacerbates the problem. Without routine dental visits, early signs of cavities often go undetected, leading to more serious oral health issues. Many parents only take their children to a dentist when there is pain or visible decay, missing the opportunity for early intervention.
The impact of untreated tooth decay extends beyond oral pain. Children with cavities often struggle to eat, sleep, or concentrate in school, which can affect their overall development and academic performance. Health experts stress that prevention is far more effective and less costly than treatment for advanced dental problems.
To address the rising trend, dental professionals are calling for greater oral health education in schools and communities. Key recommendations include teaching proper brushing and flossing techniques, limiting sugary snacks, encouraging healthy eating habits, and ensuring children brush at least twice daily with fluoride toothpaste. Routine dental visits should also be prioritized to detect and treat early signs of decay.
Experts further suggest national strategies to protect children’s oral health, such as integrating dental care programs into school health initiatives and improving access to preventive services in communities. By combining education, good oral hygiene practices, and preventive care, it is possible to reduce the prevalence of tooth decay among Ghanaian school children.
As Ghana observes World Oral Health Day 2026, the warnings from dental professionals serve as a reminder that healthy habits from a young age can protect children’s smiles and overall well-being. Parents, schools, and communities all have a role to play in ensuring children maintain strong teeth and gums for life.
As Ghana marks World Oral Health Day 2026, dentists warn that 1 in 4 pupils show signs of tooth decay.
Dr. Victor Painstil is urging a ban on sugary foods and drinks in basic schools, citing links to decay and other health risks.#GhanaDentists #ChannelOneNews #ChannelOneTV pic.twitter.com/7VGq1efXII
— ChannelOne TV (@Channel1TVGHA) March 19, 2026
Source: Thepressradio.com
More Related Articles

Everything You Need to Know About Attention‑Deficit/Hyperactivity Disorder (ADHD)
Attention‑Deficit/Hyperactivity Disorder (ADHD) is a common neurodevelopmental condition that affects both children and adults. It is characterised by persistent patterns of inattention, hyperactivity, and impulsivity that can interfere with daily life, school, work, and relationships. ADHD is not c

FDA Warns Youth Against Using Unapproved Aphrodisiacs
The Food and Drugs Authority (FDA) in Ghana has issued a strong warning to young people about the dangers of consuming unapproved aphrodisiacs, emphasizing that such products pose serious health risks. The agency’s caution comes amid increasing reports of young individuals using these substances in

Ghana Introduces National Condom and Lubricant Strategy to Strengthen Public Health
The government of Ghana has announced plans to roll out a National Condom and Lubricant Strategy, a move aimed at improving sexual and reproductive health while reducing the spread of sexually transmitted infections (STIs) and preventing unintended pregnancies across the country. Officials from the
